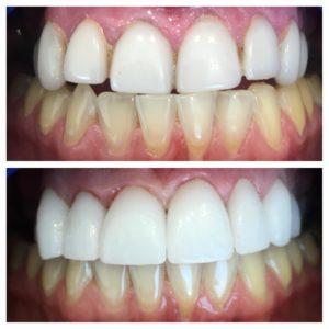
Teeth whitening is one of the most popular cosmetic dental treatments for a reason—it delivers fast, visible results and boosts your confidence with a brighter, more youthful smile. However, a common question many patients ask is: How long will the results last? The answer depends on the type of whitening treatment and your dental habits after the procedure.
How Long Does Teeth Whitening Last?
Generally, professional teeth whitening can last anywhere from 6 months to 3 years, while over-the-counter products may only provide results that last a few weeks to a couple of months. In-office treatments performed by your dentist typically use stronger bleaching agents than store-bought kits, leading to longer-lasting and more noticeable results.
However, it’s important to remember that teeth whitening isn’t permanent. Teeth naturally stain over time, especially when exposed to common culprits like coffee, tea, red wine, and tobacco. Your results will fade faster if these are part of your daily routine.
Tips to Maintain Your Bright Smile
Maintaining your white smile doesn’t have to be difficult. Here are some easy but effective tips:
1. Watch What You Eat and Drink
Dark-colored beverages such as coffee, tea, red wine, and soda are notorious for staining teeth. If you do enjoy them, consider using a straw to minimize contact with your enamel and rinse your mouth with water afterward.
2. Quit Smoking
Tobacco is one of the biggest contributors to tooth discoloration. Quitting smoking not only keeps your smile bright but also significantly improves your overall oral and general health.
3. Maintain Good Oral Hygiene
Brush at least twice a day, floss daily, and use a whitening toothpaste once or twice a week to help remove surface stains. Regular brushing helps prevent plaque buildup, which can dull your teeth over time.
4. Schedule Regular Dental Cleanings
Professional cleanings remove tartar and surface stains that can’t be eliminated through brushing alone. Visiting your dentist every six months will help maintain your whitened teeth and overall oral health.
5. Consider Touch-Up Treatments
Depending on your lifestyle and habits, your dentist may recommend periodic touch-ups every 6–12 months. These can be done in-office or with custom take-home whitening trays.
Keep Smiling Bright
Teeth whitening is an effective way to refresh your appearance, but keeping that sparkling smile takes a bit of effort. By following a good oral hygiene routine and avoiding stain-causing habits, you can extend the results of your whitening treatment and enjoy a radiant smile for years to come.
If you're interested in whitening your teeth or learning more about how to maintain your results, contact your dentist for a personalized recommendation.
